Перелом усталости бедренной кости

01.10.2025
211 просмотров

Введение

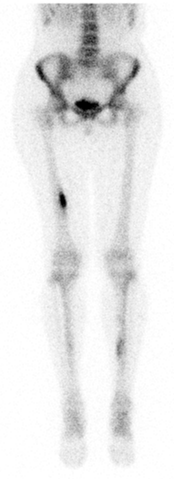
Сканирование костей

Стрессовые переломы бедренной кости случаются в двух различных областях, а именно:

  1. Стрессовый перелом бедренного стержня (FSSF): травма от перегрузки, при которой ненормальные нагрузки воздействуют на губчатую кость бедренного стержня, что приводит к микропереломам. Наиболее часто встречается у молодых спортсменов.[1]
  2. Стрессовый перелом шейки бедра (FNSF): вызван повторяющейся нагрузкой на шейку бедра, что приводит к стрессовым переломам сжатия (нижне-медиальная шейка) или растяжения (верхне-латеральная шейка). Наиболее часто встречается у молодых спортсменов и военнослужащих. [2]

Стрессовые переломы бедренной кости могут быть трудными для диагностики. Симптомы часто легкие на ранних стадиях и схожи с растяжением мышцы. Если пациент не адаптирует свой режим тренировок, определённые стрессовые переломы могут привести к осложнениям, вплоть до полного перелома бедренной кости головки или стержня [3][4].

Этиология

Возникает через распространение трещин в кости. Повторяющиеся нагрузки, превышающие порог врожденного заживления кости, либо из-за повторяющегося стресса на нормальную усталостную перелом кости, либо на аномальную кость (перелом недостаточности).[1]

Эпидемиология

  1. FNSF составляют примерно 11% стрессовых травм у спортсменов. Пациенты жалуются на боль в тазобедренной области или в паху, которая усиливается при нагрузке на вес и размахе движений, особенно при внутреннем вращении. Существуют 2 типа FNSF: напряженный тип включает верхне-латеральный аспект шейки и имеет наивысший риск полного перелома; поэтому эти повреждения следует выявлять на ранней стадии; Переломы типа сжатия встречаются у более молодых спортсменов и включают нижне-медиальную шейку бедренной кости. Некоторое время можно попытаться обойтись без хирургического вмешательства для пациентов, у которых на рентгеновских снимках не видна линия перелома при травмах типа сжатия. Это повреждение часто встречается у бегунов.
  2. FSSF: Хорошо документированы в литературе, и в одном исследовании среди новобранцев армии они составили 22,5% всех стрессовых переломов. Пациенты обычно жалуются на плохо локализованную, постепенную боль в ноге, часто принимаемую за мышечную травму. Осмотр часто не имеет очагового характера, хотя тест " рычаг " может быть использован врачами для локализации пораженной боли и предложения диагноза. Если на снимках нет доказательств разрыва кортикального слоя, можно попытаться обойтись без хирургического вмешательства.[5]

Факторы Риска

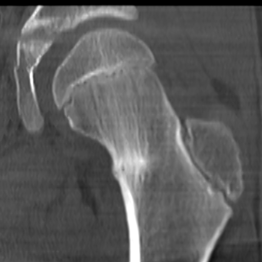
КТ: Перелом шейки бедра под нагрузкой

Факторы риска следующие: [6][7][8][9]

  • Тренировки высокой интенсивности
  • Любительские бегуны
  • Легкая атлетика, баскетбол, футбол, танцы
  • Женщины
  • Неправильное питание и образ жизни
  • Низкий уровень 25-гидроксивитамина D
  • Триада спортсменок
  • История курения
  • < 3 раз занятий спортом в неделю
  • > 10 алкогольных напитков в неделю
  • Генетические факторы [10]
  • Смена поверхностей (закрытая трасса, замороженное поле)
  • Биомеханический дисбаланс (длина ноги, свод стопы, варус переднего отдела стопы, положение стопы и лодыжки)

Признаки и Симптомы

  • Местная боль и отек
  • Болевые точки при пальпации
  • Местное опухание
  • Анталгическая походка
  • Боль и ограничение пассивных и активных движений в суставе бедра и/или колена (сгибание, внутренняя ротация, разгибание)
  • Усиление боли при активности
  • Боль в области паха
  • Отек костного мозга[9][11][12][13]

Оценка Результатов

  1. Тест прыжка и тест камертоном могут использоваться как диагностические тесты, но недавних данных об их достоверности недостаточно.
  2. Еще один тест - "тест кулака", терапевт создает двустороннее давление на переднюю часть бедра, начиная с дистальной части и двигаясь к проксимальной.
  3. Наиболее достоверным тестом для диагностики является тест на опорную точку, когда терапевт создает давление на заднюю часть колена[12].

Дифференциальная Диагностика

НФШ: Ранний остеоартрит, Разрыв суставной губы бедра, Хондральные дефекты бедра, Растяжение прямой мышцы бедра, Аваскулярный некроз головки бедра   

Диагностические Процедуры

Используются 4 метода на разных этапах диагностики и лечения [6][10]

  1. Рентгенография,
  2. Остеосцинтиграфия
  3. МРТ (имеет наивысшую чувствительность и специфичность [6]
  4. Ультразвуковая визуализация

Физическая Терапия

ПНБШ

  1. Консервативное лечение: Пациенту следует ограничить нагрузку на ногу, пользуясь костылями, до полной отсутствия боли. Обычно это занимает от 6 до 8 недель, но может длиться до 14 недель. В это время нагрузка на поврежденную сторону может постепенно увеличиваться от полной разгрузки до касания пальцев ног по мере уменьшения боли.[14] Можно начинать тренировки верхних конечностей. Можно проходить гидротерапию, надев надувной жилет для поддержки. Занятия спортом, требующие работы нижних конечностей, следует начинать только при наличии четких признаков сращения перелома как рентгенологически, так и клинически. Обычно нагрузки увеличиваются постепенно, через 12 недель, с акцентом на упражнения для укрепления и развития объема движений вокруг бедра. Следует начать с легкой беговой программы, интенсивность которой должна увеличиваться в течение 6-8 недель при условии, что пациент остается без боли. Возвращение к полновесному спорту обычно возможно через 3-6 месяцев после травмы, хотя это может занять до года или дольше.
  2. Хирургическое вмешательство: После операции пациент должен оставаться без нагрузки на ногу или касаться пола только пальцами в течение 6 недель, после чего переходить на частичную нагрузку на костылях еще на 6 недель. После этого нагрузка разрешена, насколько это возможно. Реабилитация может следовать вышеуказанным рекомендациям по консервативному лечению.
  • Ивкович и др. разработали новый алгоритм лечения ПНБШ. Четыре этапа должны быть выполнены, чтобы начать нормальные тренировки, и каждый этап оценивается тестами на прыжок или точкой опоры. 1. Симптоматический этап, когда пациент должен ходить с костылями; 2-й - асимптоматический, когда пациенту разрешено ходить нормально и начинать плавание и упражнения для верхних конечностей; 3-й - ‘базовый’ этап, пациенту можно выполнять упражнения для нижних и верхних конечностей; 4-й - ‘возобновляющий’ этап, спортсмену разрешается постепенно переходить к нормальным тренировкам [12]. Не было рецидивов травмы после лечения и контроля в течение 48-96 месяцев [12]. Алгоритм лечения доступен бесплатно в статье Ивковича и др.: "Переломы нагрузки бедренной кости у спортсменов: новый алгоритм лечения."
  • Рекомендуется триплексное обследование кости для ранней диагностики. Очень важно провести адекватную оценку, собрать анамнез пациента и иметь высокий индекс подозрительности. Это позволит практикующему врачу обосновать необходимость прохождения обследования и снижение числа недиагностируемых бессимптомных переломов на напряжение бедренной кости. [15]
  • Нужна ранняя диагностика. Часто рентгеновские снимки не смогут обнаружить эти повреждения. Поэтому необходимо пройти соответствующие региональные каналы, чтобы заказать триплексное обследование кости. Необходимо поддерживать высокий уровень подозрения, особенно если спортсмен испытывает постоянную боль, которая не улучшается с лечением. [15]

ВПНБШ

  1. Неконсервативное лечение: отдых, модификация активности, защита нагрузки. Показания - большинство переломов на напряжение бедренной кости. Ограничьте нагрузку до заживления перелома и включайте перекрестные тренировки в беговые программы
  2. Оперативное лечение: заблокированный интрамедуллярный реконструкционный гвоздь. Показания: профилактическая фиксация, пациенты с низкой массой костей или пациенты старше 60 лет; завершение перелома или смещение[1]

Профилактика

Включает:

  1. Модифицируйте свои тренировочные режимы
  2. Используйте абсорбирующие удар стельки для обуви.
  3. Применяйте стельки, если это показано. Это снижает частоту, поскольку улучшает биомеханику, снижает усталость и ограничивает воздействие на землю. Размеры этих стелек могут варьироваться и различаться для поддержки переднего отдела стопы и/или пальцев [8][16].
  4. Дополнения кальция и витамина D могут играть роль в профилактике, но их данные противоречивы [16].
  5. Растягивание мышц ног во время разминки не оказывает значительного влияния на предупреждение продолжительных переломов под напряжением [6].

Ссылки

  1. 1.0 1.1 1.2 Orthobullets Переломы стресса бедренной кости Доступно;https://www.orthobullets.com/knee-and-sports/3111/femoral-shaft-stress-fractures (дата доступа 12.12.2022)
  2. Orthobullets Переломы стресса шейки бедра Доступно:https://www.orthobullets.com/knee-and-sports/3110/femoral-neck-stress-fractures (дата доступа 12.12.2022)
  3. Patel D, Roth M, Kapil N. Стрессовые переломы: диагностика, лечение и профилактика. American Family Physician Янв. 2011; 83: 39-46. Уровень доказательности: 1A
  4. Zadpoor A, Nikooyan A. Взаимосвязь между стрессовыми переломами нижних конечностей и реакцией грунта: систематический обзор. Clinical Biomechanics 2011; 26: 23 -28. Уровень доказательности: 1B
  5. Kiel J, Kaiser K. Реакция на стресс и переломы. В InStatPearls [Интернет] 2019 июн 4. StatPearls Publishing. Доступно из: https://www.ncbi.nlm.nih.gov/books/NBK507835/ (последний доступ 2.12.2019)
  6. 6.0 6.1 6.2 6.3 Patel D, Roth M, Kapil N. Стрессовые переломы: диагностика, лечение и профилактика. American Family Physician Янв. 2011; 83: 39-46. (Уровень доказательности 1A)
  7. Стрессовые переломы, информация от вашего семейного врача. American Family Physician Янв. 2011. Уровень доказательности: 5
  8. 8.0 8.1 Zadpoor A, Nikooyan A. Взаимосвязь между стрессовыми переломами нижних конечностей и реакцией грунта: систематический обзор. Clinical Biomechanics 2011; 26: 23 -28. (уровень доказательности 3A)
  9. 9.0 9.1 Anand A, Raviraj A, Kodikal G. Подхрящевые стрессовые переломы головки бедренной кости у здорового взрослого человека. Indian J Orthop. 2010 окт-дек; 44(4): 458-460. Уровень доказательности: 3B
  10. 10.0 10.1 Korvala J, Hartikka H, Pihlajamäki H, Solovieva S, Ruohola J-P, Sahi T, Barral S, Ott J, Ala-Kokko L, Männikkö M. Генетическая предрасположенность к стрессовым переломам шейки бедра у военных рекрутов. BMC Genetics 2010, 11: 95. Уровень доказательности: 2B
  11. Niva M, Mattila V, Kiuru M, Pihlajamäki H. Травмы стресса кости распространены у женщин-военных. Clin Orthop Relat Res (2009) 467: 2962-2969. Уровень доказательности: 3A
  12. 12.0 12.1 12.2 12.3 Ivkovic A, Bojanic I, Pecina M. Стрессовые переломы бедренной кости у атлетов: новый алгоритм лечения. Br J Sports Med 2006; 40: 518-520. (Уровень доказательности 2A)
  13. Schultz, Houglum, Perrin. Третье издание, экзамен на наличие травм опорно-двигательного аппарата стр.401. Human Kinetics. Уровень доказательности: 5
  14. Robertson GA, Wood AM. Стрессовые переломы шейки бедра в спорте: актуальные концепции. Sports medicine international open. 2017 фев;1(02):E58-68. Доступно из: https://www.ncbi.nlm.nih.gov/pmc/articles/PMC6226070/ (последний доступ 2.12.2019)
  15. 15.0 15.1 Mark Casterline, M. A. (Март 1996). Стрессовый перелом бедра. Journal Of Athletic Training, 55-56 (уровень доказательности 4).
  16. 16.0 16.1 Snyder R, De Angelis J, Koester M., Spindler K, Dunn W. Может ли модификация стельки обуви предотвратить стрессовые переломы? Систематический обзор. HSSJ (2009) 5: 92-98. (Уровень доказательности 2B)