Оценка стопы и лодыжки - исследования и тесты

13.10.2025
372 просмотра

Введение

Сбор анамнеза пациента и выполнение объективной оценки являются золотым стандартом для оценки стопы и голеностопного сустава. Цель использования специальных исследований и тестов — подтвердить клинический диагноз.

"Мы не можем лечить пациента только на основе рентгеновских снимков или только на основе результатов МРТ. Все это должно быть объединено (с объективной оценкой)". Элен Симпсон

Sure, here is the translation of the provided medical text into Russian, retaining the original HTML format:

Рентген

Комплекс сочленений Лисфранка
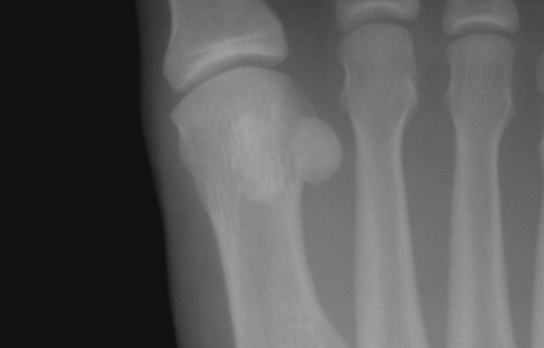
Сесамовидная кость в дистальном конце первой плюсневой кости

Рентгенография может помочь в исследовании костей и мягких тканей:

  • Помогает в диагностике разрыва ахиллова сухожилия на основе наличия пяти рентгенологических признаков.[1] Боковая рентгенография лодыжки надежна для поддержки диагностики разрыва ахиллова сухожилия.[1]
  • Может быть недостаточной для выявления переломов лодыжки.[2]
  • Травмы синдесмозов часто остаются незамеченными на рентгеновских снимках.[2]
  • Помогает в диагностике перелома лодыжки. Рекомендуются передне-задний, боковой и косой виды. Косой вид относится к передне-заднему виду с 15° внутренней ротацией. Если возможно, рентген должен быть сделан, когда пациент стоит. Пациенту рекомендуется стоять даже с небольшой нагрузкой (даже на 99% на неповрежденной ноге). Исключения составляют случаи, когда очевидна вывих/открытый перелом. Если перелом лодыжки исключен, но прогресса в реабилитации пациента нет, и пациент продолжает жаловаться на боль, рентген должен быть повторен в течение 6 недель для исключения остеохондрального повреждения или трещины.
  • Неправильное выравнивание второго предплюсневого сустава — общая черта переломов-вывихов Лисфранка. На передне-заднем виде рентгена виден латеральный сдвиг основания второй плюсневой кости и диастазис более 2 мм между основаниями первой и второй плюсневой костей. Рекомендуется сделать рентген в весовом положении, чтобы поврежденная сторона могла быть сравнена с противоположной стороной.[3]
  • Неправильная установка задней части стопы вызывает инвалидность стопы и лодыжки. Важна оценка результатов рентгена для контроля выравнивания задней части стопы. Рекомендуется использовать длинный осевой вид задней части стопы в двухстороннем стоянии для клинических и исследовательских целей. [4]
  • Перелом сесамовидной кости отображается на рентгене как неровное пространство между частями кости. Ровное разделение двух костей, видимое на рентгене, является нормой у примерно 10% населения.
  • Повреждения связок были подтверждены на первом диагностическом рентгене только у 50% пациентов. Этот показатель увеличился до 66% пациентов во время второго рентгена, когда диагноз был подтвержден.[5]
  • Правила Оттавы для лодыжки для исключения/подтверждения необходимости рентгенографии лодыжки после травмы.

Диагностическое ультразвуковое исследование

УЗИ нейромы Мортона между 3-й и 4-й головками плюсневых костей

Диагностическое ультразвуковое исследование позволяет динамически обследовать патологии стопы и лодыжки. Это неинвазивный, экономичный и доступный инструмент, который рекомендуется в качестве первой линии диагностики для исключения надрывов связок, тендинита, теносиновита, подошвенного апоневроза, мягкотканных образований или нейромы Мортона. [6] [7]

Диагностическое ультразвуковое исследование оказалось эффективным инструментом для диагностики следующих травм стопы и лодыжки:

  • Переломы пятой плюсневой кости, латеральной и медиальной лодыжки у пациентов с растяжениями стопы и/или лодыжки. Примечание: чувствительность для переломов ладьевидной кости низкая.[8]
  • Для исключения разрыва или растяжения передней таранно-малоберцовой связки и пяточно-малоберцовой связки.[9][10][11]
  • Боль в лодыжке, связанная с патологиями латеральных связок, патологиями сухожилий и выпотом в сустав. Примечание: ограниченное использование при подозрении на повреждение задней таранно-малоберцовой связки.[12]
  • Травмы ахиллова сухожилия.[13]
  • Статистически значим для постановки диагноза травмы синдесмоза при расширении пространства между большеберцовой и малоберцовой костями на ≥6,0 мм.[14]
  • Должно рассматриваться в качестве первого метода для переломов стопы и лодыжки. [15]

МРТ

File:MRI Ankle Sprain.jpg
МРТ растяжение голеностопа

МРТ является методом выбора при хронической боли в стопе. На основе доступных исследований, МРТ используется для различных нарушений мягких тканей стопы и голеностопа из-за его высокого разрешения и контраста, но интерпретация результатов является ключевым моментом для правильной диагностики. МРТ - это дорогой метод, который не всегда легко доступен в многих странах, и должен быть именно ортопедический хирург, который направляет на это исследование.

"Это великолепно для осмотра мягких тканей. Если мы ищем хрящевые повреждения, это чувствительный метод, но он может переоценить степень повреждения". Элен Симпсон

МРТ является:

  • Золотым стандартом для диагностики разрыва ахиллова сухожилия.[1]
  • Рекомендуется пациентам с постоянной болью в покое после растяжений голеностопа, так как клиническое обследование недостаточно при подозрении на синдесмотическое повреждение.[16]
  • Предоперационным инструментом принятия решений для восстановления передней талофибулярной связки в случае хронической латеральной нестабильности голеностопа.[17][18]
  • Рутинным методом осмотра связок голеностопного сустава при повреждении связок голеностопа. Рекомендуется проведение МРТ с нагрузкой, так как поперечное и корональное положение может показать полную длину связки.[5]
  • Ценным инструментом в диагностике посттравматической боли в голеностопе, так как он имеет 96% точность в выявлении повреждений сухожилий.[19]
  • Полезен для оценки сухожилий, связок, нервов и фасций, а также для распознавания скрытых костных повреждений.[19]
  • Исследованием выбора для метатарзалгии благодаря его высокому разрешению, демонстрирующему анатомию сесамовидных костей, подошвенного гленосезамовидного аппарата и прилегающих сухожилий сгибателей, абдукторов и аддукторов.[20]

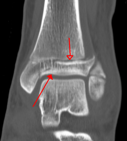
КТ

КТ трёхплоскостного перелома

При травмах стопы и голеностопа использование КТ предлагается как метод для оценки пассивной подсистемы. Это быстрая методика, и она может использоваться во время операции. Компьютерная томография с нагрузкой (WBCT) позволяет измерять и анализировать положение костей стопы и голеностопа и их деформации.[21] Рекомендации по использованию КТ и WBCT включают:

  • Для оценки переломов в области голеностопного сустава.[2]
  • Для оценки синдесмотического восстановления. Компьютерная томография с нагрузкой (WBCT) доказала свою более высокую надежность.[22]
  • Для предсказания синдесмотических травм при переломах голеностопа.[23]
  • Для характеристики выравнивания задней части стопы, чтобы определить количество перемещения, необходимого для нейтральной оси при остеотомии пяточной кости.[24]
  • Для диагностики скрытой нестабильности Лисфранка.[25]

Правила Оттавы для стопы и голеностопа

Правило Оттавы для голеностопа определяет необходимость рентгенографии при острых растяжениях голеностопного сустава. Это точный инструмент для исключения переломов голеностопа и средней части стопы, но тест имеет некоторые ограничения:

  • Высокая точность верна для первых 10 дней после травмы
  • Высокая чувствительность обнаруживается у пациентов младше 55 лет

Подробная информация доступна на странице Правила Оттавы для голеностопа.

Тест "колено к стене"

Тест "Колено к стене"

Должен всегда выполняться при оценке травмы голеностопа и стопы:

  • Предоставляет средство для оценки диапазона движения в голеностопном суставе
  • Рекомендуется, когда рассматриваются такие состояния, как избыточная пронация стопы или подошвенный фасциит
  • Начальная позиция для тестирования: пальцы у стены, постепенно отходя. Расстояние между пальцами и стеной измеряется линейкой и фиксируется для сравнения и последующей переоценки.

[26]

Подробная информация доступна на странице Тест "колено к стене".

Тест переднего выдвижного ящика

  • Всегда выполняется при оценке травмы голеностопа и стопы
  • Всегда сравнивайте с "нормальной" стороной
  • Во время теста не забудьте "обнять" пяточную кость, так как это движет таранную кость.
  • Подробнее здесь Тест переднего выдвижного ящика для голеностопа

Сжатие тест

  • Выполняется для обнаружения травмы синдесмоза
  • Пытаемся воспроизвести симптомы боли

Подробная информация доступна на странице Сжатие тест.

Тест на внешнюю ротацию

  • Выполняется для обнаружения травмы синдесмоза
  • Пытаемся воспроизвести механизм травмы

[27]

Подробная информация доступна на странице Тест на внешнюю ротацию.

Тест Коттона

  • Выполняется для обнаружения нестабильности синдесмоза
  • Это мануальный стресс-тест
  • Определяет величину бокового смещения таранной кости в голеностопной впадине

[28]

Тест блока Колмана

  • Выполняется для оценки гибкости задней части стопы и пронации передней части стопы
  • Завершается поддержкой боковой передней части стопы на деревянном блоке толщиной 2.5-4 см
  • Определяет, вызван ли инвертированный пятка проблемой в передней части стопы

[29]

Другие тесты

Другие специальные тесты включают:

  • Стресс-тесты для связок голеностопа
  • Тест на наклон таранной кости
  • Тест на стресс с эвакуацией
  • Тест Силверскиольда
  • Тест Виндласа
  • Признак зажатия в голеностопе
  • Тест падения ладьевидной кости

Для получения подробной информации по этим тестам, пожалуйста, обратитесь к соответствующим страницам по предоставленным ссылкам.

Тесты на равновесие

Тест BESS

  • Инструмент для оценки постуральной стабильности
  • Требуются две поверхности для тестирования, секундомер и лист оценки

Подробная информация доступна на странице Система оценки ошибок равновесия.

Тест на равновесие с выдвижением звезды (SEBT)

  • Оценка передних движений
  • Записывайте движения и сравнивайте результаты
  • Используется для показа прогресса
  • Тест на равновесие Y является короткой версией теста "Звезда"
  • Подробнее здесь Тест на равновесие с выдвижением звезды

[30]

Тесты на возврат в спорт

Цель проведения теста на возврат в спорт - определить готовность индивидуума участвовать в высокоуровневых видах активности.

Тесты на возврат в спорт:

  • Помогают определить время для возвращения к неограниченной активности.
  • Нацелены на уменьшение риска повторной травмы.
  • Они проверяют способность атлета вернуться в спорт. Они должны имитировать активность атлета. Пример: тест на прыжок на одну ногу или тест на прыжок на две ноги для прыгуна в длину с историей растяжения голеностопа. Другие примеры включают тест на стабильность при прыжке или шаттл-бег.
  • Они не стандартизированы. Нет данных, подтверждающих использование одного теста по сравнению с серией тестов.
  • Важно использовать широкий спектр оценок: самоотчеты пациентов и оценка психологических факторов как примеры. [31]
  • Смотрите также Возвращение к игре в спорт

Критерии Оценки

Травмы стопы и голеностопного сустава довольно распространены, и прогресс пациента, а также удовлетворение результатами являются основным фокусом всех поставщиков физиотерапии. Критерии оценки, используемые на разных этапах реабилитации, помогают отслеживать улучшение функциональности и определять, существуют ли дополнительные ограничения, мешающие пациенту вернуться к спорту или повседневной деятельности. Наиболее часто используемые самооценочные критерии для травм стопы и голеностопа включают:[32]

  • Оценка Способностей Стопы и Голеностопного Сустава (FAAM)
  • Оксфордский Вопросник по Стопе и Голеностопу
  • Индекс Инвалидности Стопы и Голеностопного Сустава (FADI)
  • Вопросник по Задачам для Нижних Конечностей (LLTQ)
  • Индекс Функции Стопы (FFI)
  • Ключевые Показатели для Нижней Конечности/Модуль по Стопам и Голеностопу Американской Академии Ортопедических Хирургов (AAOS)
  • Инструмент Оценки Функциональности Голеностопного Сустава (AJFAT)
  • Шкала VISA-A

Заключение

Пожалуйста, посмотрите следующее видео, демонстрирующее применение и интерпретацию специальных тестов для оценки стопы и голеностопного сустава:

[33]

Ссылки

  1. 1.0 1.1 1.2 Bowen L, Evans R, Bodger O, Howard J, Anne-Marie H. Изучение достоверности признаков мягких тканей на боковой рентгенограмме лодыжки для помощи в диагностике разрыва ахиллова сухожилия в отделении неотложной помощи. Int J Foot Ankle. 2019;3:033.
  2. 2.0 2.1 2.2 Szymański T, Zdanowicz U. Сравнение рутинной компьютерной томографии и обычной рентгенографии для переломов лодыжки — насколько много мы упускаем?. Foot and Ankle Surgery. 2021 Apr 1.
  3. Stavlas P, Roberts CS, Xypnitos FN, Giannoudis PV. Роль репозиции и внутренней фиксации вывихов-переломов Лисфранка: систематический обзор литературы. Int Orthop. 2010 Dec;34(8):1083-91.
  4. ML Reilingh, L Beimers, GJM Tuijthof, SAS Stufkens, M Maas, et al. Измерение выравнивания задней части стопы радиографически: длинный аксиальный вид более надежен, чем вид выравнивания задней части стопы. Skeletal radiology 2010;39 (11): 1103-1108.
  5. 5.0 5.1
  6. Qi H, Feng Y. Анализ клинической ценности диагностики спортивных травм связок голеностопного сустава с помощью магнитно-резонансной томографии с нагрузкой. IEEE Access. 2020 Mar 30;8:62725-37.
  7. Khoury V, Guillin R, Dhanju J, Cardinal É. Ультразвуковая диагностика стопы и голеностопа: перегрузочные и спортивные травмы. Семинары по мускулоскелетной радиологии 2007 Jun; 11(02): 149-161.
  8. Rawool NM, Nazarian LN. Ультрасонография голеностопа и стопы. В: Семинары по ультразвуку, КТ и МРТ 2000 Jun; 21(3): 275-284.
  9. Atilla OD, Yesilaras M, Kilic TY, Tur FC, Reisoglu A, Sever M, Aksay E. Точность ультразвукового исследования в качестве диагностического инструмента при переломах стопы и голеностопа. Академическая неотложная медицина. 2014 Sep;21(9):1058-61.
  10. Hosseinian SH, Aminzadeh B, Rezaeian A, Jarahi L, Naeini AK, Jangjui P. Диагностическая ценность ультразвукового исследования при растяжении связок голеностопа. Журнал хирургии стопы и голеностопа. 2021 Aug 20.
  11. Esmailian M, Ataie M, Ahmadi O, Rastegar S, Adibi A. Чувствительность и специфичность ультразвука в диагностике травматических повреждений голеностопа. Журнал исследований в медицинских науках: официальный журнал Медицинского университета Исфахана. 2021;26.
  12. Gribble PA. Оценка и дифференциация нестабильности голеностопа. Журнал спортивной медицины. 2019 Jun;54(6):617-27.
  13. Singh K, Thukral CL, Gupta K, Singh A. Сравнение высокочастотной ультразвуковой диагностики с клиническими находками у пациентов с болью в голеностопном суставе. J Ultrason. 2018;18:316–24.
  14. Lee SH, Yun SJ. Возможность использования ультразвукового исследования на месте оказания помощи у пациентов с рецидивирующими растяжениями голеностопного сустава и хронической нестабильностью голеностопа: сравнение с магнитно-резонансной томографией. Injury. 2017;48:2323–8.
  15. Fisher CL, Rabbani T, Johnson K, Reeves R, Wood A. Диагностический потенциал динамической ультразвуковой оценки повреждений стопы-супинации: исследование на трупах. BMC musculoskeletal disorders. 2019 Dec;20(1):1-7.
  16. Wu J, Wang Y, Wang Z. Диагностическая точность ультразвукового исследования в детекции переломов стопы и голеностопного сустава: систематический обзор и мета-анализ. Medical Ultrasonography. 2021 May 20;23(2):203-12.
  17. Grossterlinden LG, Hartel M, Yamamura J, Schoennagel B, Burger N, Krause M, et al. Изолированные повреждения синдесмоза при острых растяжениях голеностопных суставов: диагностическая значимость клинического осмотра и МРТ. Knee Surg Sports Traumatol Arthrosc. 2016;24(4):1180–6.
  18. Morvan A, Klouche S, Thes A, Hardy P, Bauer T. Надежность и точность предоперационного МРТ для принятия хирургических решений при хронической латеральной нестабильности голеностопного сустава. European Journal of Orthopaedic Surgery & Traumatology. 2018 May;28(4):713-9.
  19. Cao S, Wang C, Ma X, Wang X, Huang J, Zhang C, Wang K. Надежность и точность различных плоскостей МРТ голеностопного сустава для диагностики повреждения передней таранно-малоберцовой связки: исследование на трупах. Journal of orthopaedic surgery and research. 2019 Dec;14(1):1-8.
  20. 19.0 19.1 Elgohary MM, Abdul Rahim SA, Ibrahim TA. Роль МРТ в оценке травматических повреждений голеностопного сустава. The Egyptian Journal of Hospital Medicine. 2017 Oct 1;69(3):2016-24.
  21. Batta NS, Gupta A, Batra V. Результаты визуализации двусторонней недостаточности медиального галлюциального сесамоидного отростка у марафонца. Indian J Musculoskelet Radiol 2019;1(1):57-60.
  22. Rojas EO, Barbachan Mansur NS, Dibbern K, Lalevee M, Auch E, Schmidt E, Vivtcharenko V, Li S, Phisitkul P, Femino J, de Cesar Netto C. Компьютерная томография с нагрузкой для оценки деформаций стопы и голеностопного сустава: опыт Айовы. Iowa Orthop J. 2021;41(1):111-119.
  23. Abdelaziz ME, Hagemeijer N, Guss D, El-Hawary A, El-Mowafi H, DiGiovanni CW. Оценка редукции синдесмоза на КТ. Foot & ankle international. 2019 Sep;40(9):1087-93.
  24. Lee SW, Lee KJ, Park CH, Kwon HJ, Kim BS. Достоверные диагностические параметры двустороннего КТ для прогнозирования нестабильного повреждения синдесмоза при переломе голеностопа. Diagnostics. 2020 Oct;10(10):812.
  25. Burssens A, Peeters J, Buedts K, Victor J, Vandeputte G. Измерение выравнивания заднего отдела стопы в опирающемся на вес КТ: новый клинически значимый метод измерения. Foot Ankle Surg. 2016 Dec;22(4):233-238.
  26. Bhimani R, Sornsakrin P, Ashkani‐Esfahani S, Lubberts B, Guss D, De Cesar Netto C, Waryasz GR, Kerkhoffs GM, DiGiovanni CW. Использование измерения площади и объема с помощью КТ с нагрузкой для обнаружения нестабильности Лисфранка. Journal of Orthopaedic Research®. 2021 Jan 6.
  27. Тест на выпады с нагрузкой. 2017. Доступно по адресу: https://www.youtube.com/watch?v=wV9tITMsbDs [последний доступ 12/01/2022]
  28. Тест Клейгера или Тест внешнего вращения. 2013 Доступно по адресу: https://www.youtube.com/watch?v=LnB1fta_rQA [последний доступ 12/01/2022]
  29. UWECATEP. Тест Коттона. 2013. Доступно по адресу: https://www.youtube.com/watch?v=qX68KET3dls [последний доступ 12/01/2022]
  30. Оценка гибкости стопы: Часть 05 (модифицированный тест Блока Коулмена). Доступно по адресу: https://www.youtube.com/watch?v=TCp25F0l7hc [последний доступ 6/6/2009]
  31. Тест на балансирование по звезде (SEBT).2017. Доступно по адресу: https://www.youtube.com/watch?v=GBT9V78d6E0[последний доступ 12/01/2022]
  32. Manske R, Reiman M. Функциональное тестирование для оценки мощности и для возвращения к спорту. Sports Health. 2013 May;5(3):244-50.
  33. Shultz S, Olszewski A, Ramsey O, Schmitz M, Wyatt V, Cook C. Систематический обзор инструментов оценки, используемых для измерения состояний нижней конечности. Int J Sports Phys Ther. 2013 Dec;8(6):838-48.
  34. Kris Porter DPT. Экран движения нижней четверти. Доступно по адресу: https://www.youtube.com/watch?v=l6gkHR02rIM [последний доступ 30/6/2021]