Определение/Описание
Фибродисплазия окостеняющая прогрессирующая — это редкое генетическое заболевание, которое превращает связки, мышцы и сухожилия в кости за пределами скелета, что затрудняет движение.[1] Впервые она была описана в 1692 году и характеризуется прогрессирующими гетеротропными окостенениями в анатомических структурах. [2] Изначально она была названа миозит окостеневающий прогрессирующий, что означает «мышца, превращающаяся в кость». [2] Позднее название было изменено на фибродисплазия окостеняющая прогрессирующая, что указывает на «мягкие ткани, превращающиеся в кость». [2] Название фибродисплазия окостеняющая прогрессирующая означает, что связки и сухожилия также превращаются в кости, а не только мышцы, что отличает это состояние от миозита окостеневающего прогрессирующего.[2] Это различие было выявлено доктором Виктором МакКьюсиком из Университета Джонса Хопкинса в 1970-х годах. [2]
Распространенность
Один из каждых двух миллионов человек диагностируется с фибродисплазией окостеняющей прогрессирующей[1]. Болезнь в основном начинается в детстве и обычно диагностируется до десяти лет. [2] Почти в 90% случаев болезнь неверно диагностируется и неправильно лечится врачами или другими специалистами здравоохранения.[1] Тем не менее, в мире подтверждено 800 случаев, из которых 285 в Соединенных Штатах.[2] 67% проходят инвазивные процедуры для диагностики и лечения, такие как остеотомия, забор крови или МРТ.[1] Фибродисплазия окостеняющая прогрессирующая не была связана с каким-либо определенным полом, этнической принадлежностью или расой[2].
Характеристики/Клиническое проявление
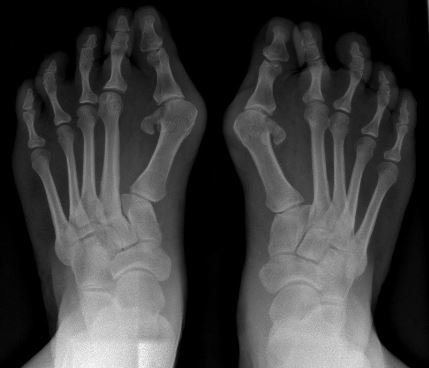
- Вальгусная деформация большого пальца стопы с микродактилией и монопалангией большого пальца являются ранними признаками, которые часто видны при рождении.[1]
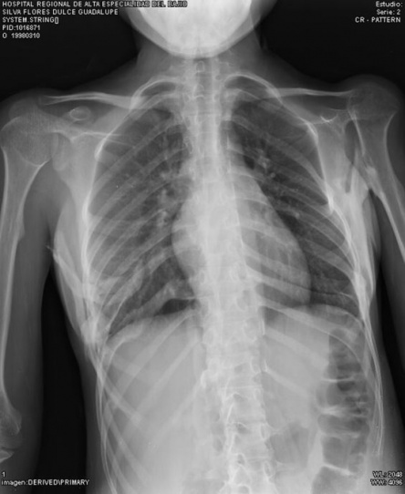
- ФОП в основном начинается с шеи и плеч, а затем прогрессивно распространяется на туловище, спину и конечности, как только начинает формироваться дополнительная кость.[1]
- Окостенение межреберных мышц[3]
Вальгусная деформация большого пальца стопы - Кифосколиоз и лордоз[4]
- Сильная потеря веса [1]
- Кривошея [5]
- Усложнения ВНЧС [4]
Обострения обычно спорадические и непредсказуемые. Невозможно предсказать продолжительность и тяжесть обострений, хотя в некоторых исследованиях были описаны некоторые характерные паттерны. Также возможно, что обострения могут возникать от травм.[3]
Острые обострения из-за: внутримышечные иммунизации, блоки нижней челюсти для стоматологических работ, мышечная усталость, тупые травмы мышц от ударов, ушибов, падений, вирусных заболеваний, подобных гриппу[3]
Прогноз
Средняя продолжительность жизни этих пациентов составляет примерно 40 лет. Смерть обычно наступает из-за респираторных инфекций или осложнений, связанных с синдромом грудной недостаточности.[2] Большинство людей с ФОП к второму десятилетию жизни прикованы к инвалидной коляске и требуют пожизненной помощи в выполнении повседневных дел, и более 50% людей, у которых диагностирована фибродисплазия окостеняющая прогрессирующая, будут сталкиваться с пожизненными ограничениями.[4]
Лекарственные препараты
Отсутствуют доказанные методы лечения или лекарства, которые могут изменить историю заболевания у людей с фибродисплазией окостеняющей прогрессирующей. Контроль за прогрессированием болезни и обострениями осуществляется следующим образом:
Для острых обострений:
- Радиотерапия[1]
Для хронического дискомфорта и постоянных обострений:
Диагностические тесты/Лабораторные тесты/Лабораторные значения
Фибродисплазия оссифицирующая прогрессирующая может быть легко неправильно диагностирована, но это можно избежать, проверив пальцы пациента на наличие вальгусной деформации большого пальца и укороченного большого пальца, а также проведя тщательное клиническое обследование и тест на положительный результат гена ACVR1.[5] Генетическое тестирование теперь можно проводить для подтверждения диагноза ФОП до появления гетеротопической оссификации, что может избежать возможных инвазивных методов лечения и диагностических тестов.[3]
Образцы крови
- Положительный результат на гетерозиготную мутацию R206H гена ACVR1.[1]
Компьютерная томография[1]
Магнитно-резонансная томография[1]
Остеосцинтиграфия[1]
Повышенная СОЭ во время острых вспышек[1]
Этиология/Причины
- Генетическая мутация R206H гена ACVR1[1]
- Ген ACVR1 является рецептором типа 1 белка морфогенеза кости, сигнализирующим об эндохондральной оссификации[1]
- Мутация R206H приводит к увеличению усиленной сигнализации BMP[1]
- Подтверждение гетерозиготной мутации гена ACVR1[1]
Системное вовлечение
Кардиопульмональная система
- Дыхательные проблемы, вызванные грудной недостаточностью (например, уменьшенная подвижность грудной клетки)[5]
- Синдром грудной недостаточности, возможное жизнеугрожающее осложнение, которое может вызывать правостороннюю сердечную недостаточность и пневмонию. Максимизация функции легких и минимизация респираторных осложнений могут быть полезными для этих людей.[3]
- Рестриктивные заболевания легких (например, пневмония)[5]
Слуховая система
Потеря слуха наблюдается примерно у половины людей, диагностированных с ФОП.[3]
Иммунная система
Макрофаги, лимфоциты и тучные клетки присутствуют в ранних поражениях фибродисплазии оссифицирующей прогрессирующей.[3]
Почечная система
- Лица с ФОП в 2 раза чаще подвергаются риску образования почечных камней[3]
- История инфекции мочевыводящих путей, низкое потребление клетчатки и уменьшение потребления воды также могут увеличивать риск развития почечных камней у людей с ФОП.[3]
Интегументарная система[6]
- Эти лица подвержены риску развития пролежней из-за уменьшения мягких тканей и увеличения костей.
Медицинское управление (лучшие современные данные)
Лекарственные препараты[3]
- Снижает боль и тяжесть обострений, хронических или острых
Хирургическое освобождение контрактур суставов[3]
- Как правило, не дает результатов и может вызвать травматическую гетеротопическую оссификацию
Остеотомия гетеротопической кости[3]
- Мобилизует суставы
- Часто контрпродуктивна, поскольку новая гетеротопическая оссификация может образоваться на месте
Хирургическое перепозиционирование[3]
- Улучшает общее функциональное состояние пациентов
- Редко
В конечном итоге, не много можно сделать для излечения этой болезни. Хирургические вмешательства связаны с многочисленными осложнениями.[3]
Компания Clementia Pharmaceuticals Inc. в настоящее время проводит рандомизированное, двойное слепое, плацебо-контролируемое исследование фазы II, которое изучает влияние различных доз паловаротена на формирование костей во время обострения и после обострения. Паловаротен может предотвратить аномальный рост костей, нарушая системы в пути белка морфогенеза кости, что позволяет новообразованию кости. Исследование использует три исхода для получения результатов влияния препарата на людей с ФОП: визуализация новообразования костей, оценка функциональности и самоотчеты пациентов.
Управление физиотерапией
Физиотерапия в некоторых случаях показала ухудшение состояния у лиц с ФОП, так как она вызывает обострения, которые в конечном итоге приводят к дальнейшей оссификации связок, сухожилий и мышц.[2] Однако акватерапия показала свою пользу в поддержании диапазона движений, облегчении боли и аэробной стойкости.[2] Акватерапия предоставляет низкое воздействие и сопротивление, создаваемое водой, что в конечном итоге улучшает выполнение повседневных дел, делает функциональные активности максимально простыми и внедряет меры предосторожности для предотвращения падений.[2]
Дифференциальный диагноз
Фибродисплазия оссифицирующая прогрессирующая часто диагностируется врачами неправильно с следующими заболеваниями:
- Прогрессирующий миозит оссифицирующий
- Ювенильный фиброматоз соединительных тканей, клетки называются фибробластами, которые вторгаются в связки, сухожилия и мышцы, вызывая отек.[2]
- Лимфедема
- Мягкотканные саркомы/неоплазмы многие врачи неправильно диагностируют ФОП как неоплазмы из-за повторения вспышек мягких тканей.[2]
Отчеты о случаях/ Исследования случаев
- 4-летний мальчик с ФОП
Клинический и генетический анализ прогрессирующего фибродисплазия оссифицанс: отчет о случае и обзор литературы[1]
- 20-летнее наблюдение за 23-летней женщиной
Случай прогрессирующего фибродисплазия оссифицанс: 20 лет наблюдения[4]
- 29-летний мужчина с началом симптомов в возрасте 9 лет
Прогрессирующий фибродисплазис оссифицанс без характерных скелетных аномалий[6]
Ресурсы

Международная ассоциация прогрессирующего фибродисплазии оссифицанс
Группа поддержки предлагается людям, которым поставлен диагноз этого расстройства, называется Международная ассоциация прогрессирующего фибродисплазии оссифицанс. Она обсуждает последние исследования, как жить с ФОП и клинические испытания. Она была основана Джинни Пипер, у которой есть ФОП. Она хотела прекратить социальную изоляцию.[2] "Миссия надежды" IFOPA http://www.ifopa.org/component/content/article/33/105.html
Скелет Генри Истлака
Генри Истлак был человеком, который страдал и умер от ФОП. Его скелет сейчас выставлен в Музее Муттера при Колледжe Врачей в Филадельфии. Когда люди умирают, их скелет разваливается, потому что соединительные ткани, связки и сухожилия больше не удерживают их скелет вместе. Когда скелет выставляется в музее, его нужно тщательно переартикулировать с помощью проводов и клея. Скелету Генри не понадобилось делать переартикуляцию из-за дополнительной кости, созданной ФОП. Его скелет по-настоящему показывает суровую реальность ФОП и нарушения, которые она может создать.[2]
Ссылки
- ↑ 1.00 1.01 1.02 1.03 1.04 1.05 1.06 1.07 1.08 1.09 1.10 1.11 1.12 1.13 1.14 1.15 1.16 1.17 1.18 1.19 1.20 Lakkireddy M, Chilakamarri V, Ranganath P, Arora A, Vanaja M. Клинический и генетический анализ прогрессирующей оссифицирующей фибродисплазии: отчет о случае и обзор литературы. Journal Of Clinical & Diagnostic Research [серийный онлайн]. Август 2015;9(8):1-3. Доступно из: Academic Search Complete, Ипсвич, Массачусетс. Доступ получен 19 марта 2016 г.
- ↑ 2.00 2.01 2.02 2.03 2.04 2.05 2.06 2.07 2.08 2.09 2.10 2.11 2.12 2.13 2.14 2.15 International Fibrodysplasia Ossificans Progressiva Association. 2009. Доступно по: http://www.ifopa.org/. Доступ получен 22 марта 2016 г.
- ↑ 3.00 3.01 3.02 3.03 3.04 3.05 3.06 3.07 3.08 3.09 3.10 3.11 3.12 3.13 3.14 3.15 3.16 Pignolo RJ, Shore EM, Kaplan FS. Прогрессирующая оссифицирующая фибродисплазия: диагноз, лечение и терапевтические перспективы. Pediatr Endocrinol Rev. 2013;10 Suppl 2:437-48.
- ↑ 4.0 4.1 4.2 4.3 Abhishek K, Jain S, Khadgawat R. Случай прогрессирующей оссифицирующей фибродисплазии: 20 лет наблюдения. Neurology India [серийный онлайн]. Март 2016 г.;64(2):354-356. Доступно из: Academic Search Complete, Ипсвич, Массачусетс. Доступ получен 22 марта 2016 г.
- ↑ 5.0 5.1 5.2 5.3 5.4 5.5 5.6 5.7 Kaplan FS, Le merrer M, Glaser DL и др. Прогрессирующая оссифицирующая фибродисплазия. Best Pract Res Clin Rheumatol. 2008;22(1):191-205.
- ↑ 6.0 6.1 Ulusoy H. Прогрессирующая оссифицирующая фибродисплазия без характерных скелетных аномалий. Rheumatol Int. 2012;32(5):1379-82.